Wybór odpowiednich implantów zębowych w Szczecinie może być kluczowy dla osób, które pragną poprawić swoje zdrowie jamy ustnej oraz estetykę uśmiechu. W mieście tym dostępnych jest wiele opcji, które różnią się zarówno materiałem, z którego są wykonane, jak i technologią ich wprowadzenia. Najpopularniejsze implanty to te wykonane z tytanu, które charakteryzują się wysoką biokompatybilnością oraz trwałością. W ostatnich latach coraz większą popularność zdobywają również implanty ceramiczne, które są bardziej estetyczne i mniej widoczne, co może być istotne dla pacjentów dbających o wygląd. Warto zwrócić uwagę na różnorodność ofert klinik stomatologicznych w Szczecinie, które często proponują różne pakiety usług związanych z implantami. Oprócz samego wszczepienia implantów, wiele placówek oferuje także dodatkowe usługi, takie jak konsultacje przed zabiegiem, diagnostykę obrazową czy rehabilitację pooperacyjną.
Jakie są koszty implantów zębowych w Szczecinie
Koszt implantów zębowych w Szczecinie może się znacznie różnić w zależności od wielu czynników, takich jak rodzaj wybranego implantu, doświadczenie lekarza oraz lokalizacja kliniki. Średnio ceny wahają się od kilku tysięcy do nawet kilkunastu tysięcy złotych za jeden implant. Warto jednak pamiętać, że cena nie zawsze idzie w parze z jakością usług. Niektóre kliniki oferują atrakcyjne promocje lub możliwość rozłożenia płatności na raty, co może być korzystne dla pacjentów. Dodatkowo warto zwrócić uwagę na to, czy w cenie implantu zawarte są wszystkie niezbędne usługi, takie jak konsultacje, zdjęcia rentgenowskie czy protezy tymczasowe. Przed podjęciem decyzji warto porównać oferty różnych klinik oraz skonsultować się z lekarzem w celu uzyskania dokładnych informacji na temat kosztów oraz ewentualnych dodatkowych wydatków związanych z leczeniem.
Gdzie znaleźć najlepsze kliniki stomatologiczne w Szczecinie

Wybór odpowiedniej kliniki stomatologicznej w Szczecinie jest kluczowy dla sukcesu leczenia implantologicznego. Istnieje wiele placówek oferujących usługi związane z wszczepieniem implantów zębowych, ale nie wszystkie zapewniają ten sam poziom jakości i profesjonalizmu. Dobrym sposobem na znalezienie najlepszej kliniki jest zapoznanie się z opiniami innych pacjentów oraz sprawdzenie rankingu lokalnych gabinetów stomatologicznych. Warto również zwrócić uwagę na doświadczenie lekarzy prowadzących oraz ich kwalifikacje. Kliniki często publikują informacje o swoich specjalistach na stronach internetowych, co pozwala na lepsze zapoznanie się z ich osiągnięciami i umiejętnościami. Dodatkowo warto odwiedzić kilka gabinetów osobiście, aby ocenić atmosferę panującą w danym miejscu oraz poziom obsługi klienta.
Jakie są opinie pacjentów o implantach w Szczecinie
Opinie pacjentów dotyczące implantów zębowych w Szczecinie mogą być bardzo pomocne dla osób rozważających taki zabieg. Wiele osób dzieli się swoimi doświadczeniami na forach internetowych oraz portalach społecznościowych, co pozwala na uzyskanie rzetelnych informacji o różnych klinikach i lekarzach. Często pacjenci podkreślają znaczenie profesjonalizmu personelu medycznego oraz komfortu podczas zabiegu. Warto zwrócić uwagę na to, jak przebiegał proces leczenia od pierwszej wizyty aż po zakończenie rehabilitacji pooperacyjnej. Opinie mogą również dotyczyć jakości używanych materiałów oraz efektów końcowych leczenia. Osoby, które zdecydowały się na wszczepienie implantów często opisują swoje odczucia związane z poprawą jakości życia oraz pewności siebie po zakończeniu leczenia.
Jakie są najczęstsze pytania dotyczące implantów w Szczecinie
Wielu pacjentów zastanawia się nad różnymi aspektami związanymi z implantami zębowymi, co prowadzi do pojawienia się wielu pytań. Jednym z najczęściej zadawanych pytań jest to, jak długo trwa proces wszczepienia implantu. Zazwyczaj cały proces, od konsultacji po zakończenie rehabilitacji, może trwać od kilku miesięcy do roku, w zależności od indywidualnych potrzeb pacjenta oraz stanu zdrowia jamy ustnej. Innym istotnym pytaniem jest to, czy zabieg jest bolesny. Współczesna stomatologia oferuje różne metody znieczulenia, które znacznie minimalizują dyskomfort podczas zabiegu. Pacjenci często pytają również o czas gojenia się implantu oraz o to, jak dbać o implanty po ich wszczepieniu. Regularne wizyty kontrolne u stomatologa oraz odpowiednia higiena jamy ustnej są kluczowe dla sukcesu leczenia. Warto również dowiedzieć się, jakie są przeciwwskazania do wszczepienia implantów, ponieważ nie każdy pacjent będzie mógł skorzystać z tej formy leczenia.
Jakie są zalety i wady implantów zębowych w Szczecinie
Implanty zębowe mają wiele zalet, które przyciągają pacjentów do tego rodzaju leczenia. Przede wszystkim, implanty są trwałym rozwiązaniem dla osób z brakującymi zębami, co pozwala na przywrócenie pełnej funkcjonalności jamy ustnej. Dzięki nim można jeść i mówić bez obaw o wypadnięcie protezy. Dodatkowo, implanty pomagają w zachowaniu struktury kości szczęki, co zapobiega jej zanikanie, które często występuje po utracie zębów. Estetyka jest kolejnym istotnym atutem – implanty wyglądają jak naturalne zęby i poprawiają ogólny wygląd uśmiechu. Jednakże istnieją również pewne wady związane z tym rozwiązaniem. Koszt implantów może być znaczny, a proces ich wszczepienia wymaga czasu i cierpliwości. Ponadto nie każdy pacjent kwalifikuje się do zabiegu – osoby z chorobami przewlekłymi lub niewystarczającą ilością kości mogą napotkać trudności w uzyskaniu implantów.
Jak wygląda proces zakupu implantów w Szczecinie
Proces zakupu implantów zębowych w Szczecinie rozpoczyna się od konsultacji ze specjalistą stomatologii. Podczas pierwszej wizyty lekarz przeprowadza dokładny wywiad medyczny oraz ocenia stan zdrowia jamy ustnej pacjenta. W zależności od potrzeb może być konieczne wykonanie zdjęć rentgenowskich lub tomografii komputerowej, aby dokładnie ocenić warunki anatomiczne do wszczepienia implantu. Po postawieniu diagnozy lekarz przedstawia plan leczenia oraz omówi dostępne opcje implantów, ich ceny oraz czas trwania całego procesu. Kolejnym krokiem jest przygotowanie do zabiegu – może to obejmować dodatkowe procedury takie jak ekstrakcja zębów czy regeneracja kości. Sam zabieg wszczepienia implantu odbywa się zazwyczaj w znieczuleniu miejscowym i trwa od 1 do 2 godzin. Po jego zakończeniu pacjent otrzymuje szczegółowe instrukcje dotyczące pielęgnacji miejsca wszczepienia oraz umówioną wizytę kontrolną na przyszłość.
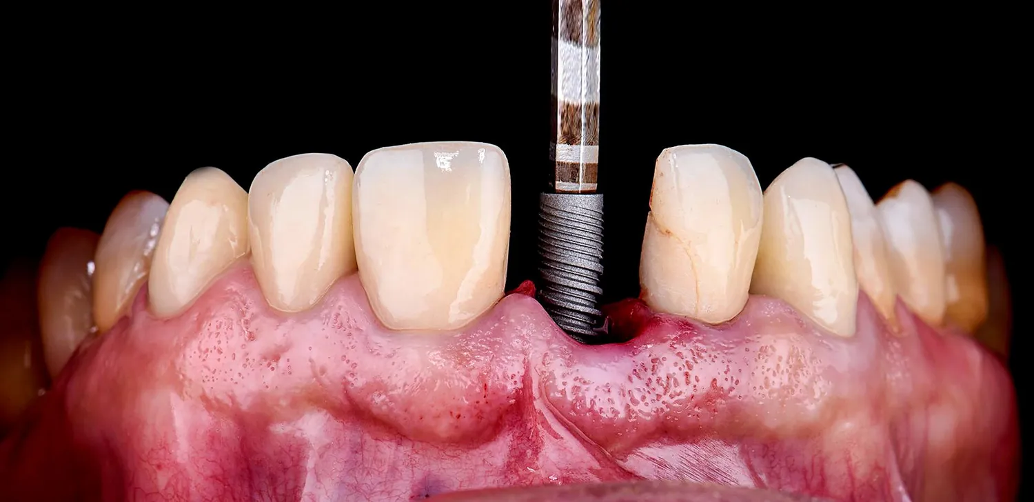
Jakie technologie są stosowane przy wszczepianiu implantów w Szczecinie
W dzisiejszych czasach technologia stosowana w stomatologii rozwija się bardzo szybko, co ma ogromny wpływ na jakość i bezpieczeństwo zabiegów związanych z wszczepieniem implantów zębowych. W Szczecinie wiele klinik korzysta z nowoczesnych technologii diagnostycznych takich jak tomografia komputerowa czy skanery 3D, które pozwalają na precyzyjne zaplanowanie zabiegu oraz dostosowanie go do indywidualnych potrzeb pacjenta. Dzięki tym technologiom lekarze mogą dokładnie ocenić warunki anatomiczne oraz zaplanować optymalne umiejscowienie implantu. Kolejnym innowacyjnym rozwiązaniem jest zastosowanie cyfrowego projektowania uśmiechu (DSD), które pozwala na wizualizację efektu końcowego przed rozpoczęciem leczenia. Ponadto wiele klinik stosuje techniki minimalnie inwazyjne, które zmniejszają ból i czas rekonwalescencji pacjenta. Użycie materiałów wysokiej jakości oraz nowoczesnych systemów mocowania implantu również wpływa na trwałość i estetykę efektu końcowego.
Jak dbać o zdrowie jamy ustnej po wszczepieniu implantu
Prawidłowa pielęgnacja jamy ustnej po wszczepieniu implantu jest kluczowa dla jego długowieczności oraz zdrowia całej jamy ustnej. Po zabiegu lekarze zazwyczaj zalecają unikanie twardych pokarmów przez kilka dni oraz stosowanie zimnych okładów na twarz w celu złagodzenia ewentualnego obrzęku. Higiena jamy ustnej powinna być szczególnie staranna – regularne szczotkowanie zębów oraz używanie nici dentystycznych pomoże utrzymać czystość wokół implantu i zapobiegnie infekcjom. Ważne jest również regularne odwiedzanie stomatologa na kontrole oraz profesjonalne czyszczenie zębów przynajmniej raz na pół roku. Pacjenci powinni także unikać palenia tytoniu oraz nadmiernego spożycia alkoholu, ponieważ te czynniki mogą negatywnie wpłynąć na proces gojenia się implantu i zdrowie dziąseł. Warto również zwrócić uwagę na dietę bogatą w składniki odżywcze wspierające zdrowie kości i dziąseł, takie jak wapń czy witamina D.
Jak wybrać odpowiedniego specjalistę do wszczepienia implantu w Szczecinie
Wybór odpowiedniego specjalisty do wszczepienia implantu zębowego to kluczowy krok dla sukcesu całego leczenia. Przy wyborze lekarza warto zwrócić uwagę na jego doświadczenie oraz kwalifikacje – dobrze jest poszukać stomatologów specjalizujących się w implantologii oraz posiadających certyfikaty potwierdzające ich umiejętności. Rekomendacje znajomych lub rodziny mogą być pomocne, ale warto również sprawdzić opinie pacjentów zamieszczone w internecie na temat konkretnego specjalisty lub kliniki. Dobrze jest umówić się na konsultację przed podjęciem decyzji – podczas takiej wizyty można ocenić podejście lekarza do pacjenta oraz jego zdolność do wyjaśnienia wszystkich aspektów związanych z zabiegiem i opieką pooperacyjną. Warto również zwrócić uwagę na wyposażenie kliniki oraz dostępność nowoczesnych technologii diagnostycznych i terapeutycznych, co może mieć wpływ na komfort i bezpieczeństwo zabiegów.
Jakie są najnowsze trendy w implantologii w Szczecinie
Implantologia to dziedzina stomatologii, która nieustannie się rozwija, a w Szczecinie można zauważyć wiele nowoczesnych trendów. W ostatnich latach rośnie popularność implantów cyfrowych, które pozwalają na precyzyjne planowanie zabiegów oraz minimalizację inwazyjności. Coraz częściej stosuje się również techniki regeneracji kości, które umożliwiają wszczepienie implantu nawet w trudnych warunkach anatomicznych. Warto zwrócić uwagę na rozwój materiałów używanych do produkcji implantów, takich jak bioceramika, która łączy estetykę z funkcjonalnością. Dzięki tym innowacjom pacjenci mogą liczyć na lepsze efekty oraz krótszy czas rekonwalescencji.








